Page 20 - Journal of Laser Dentistry 1

This is a SEO version of Journal of Laser Dentistry 1. Click here to view full version

« Previous Page Table of Contents Next Page »

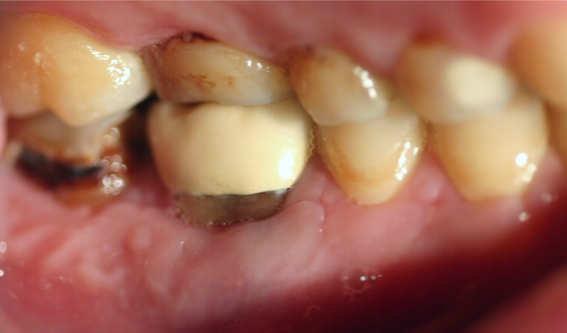
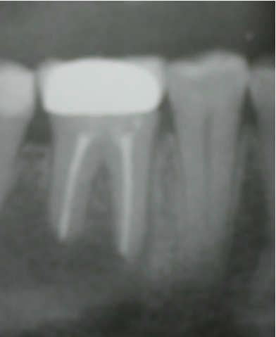
Laser Setting

Disinfection . Biostimulation

Diode Laser 810nm

Power: 2.5 Watt, CW

Fibre 400 micron

Inside and around the remaining root

Page 20 - Journal of Laser Dentistry 1

This is a SEO version of Journal of Laser Dentistry 1. Click here to view full version

« Previous Page Table of Contents Next Page »