Page 53 - Journal of Laser Dentistry 1

This is a SEO version of Journal of Laser Dentistry 1. Click here to view full version

« Previous Page Table of Contents Next Page »

4

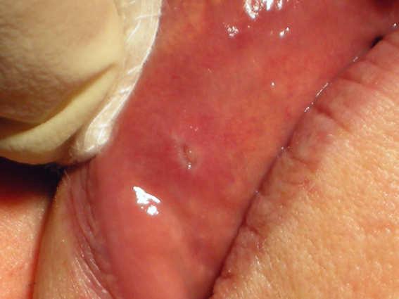
Dr. Valter Pirazzoli

Laser Setting

Diode Laser 810nm

Power: 2,0 Watt,

CW

Fibre 400 micron

Page 53 - Journal of Laser Dentistry 1

This is a SEO version of Journal of Laser Dentistry 1. Click here to view full version

« Previous Page Table of Contents Next Page »