Page 72 - Journal of Laser Dentistry 1

This is a SEO version of Journal of Laser Dentistry 1. Click here to view full version

« Previous Page Table of Contents Next Page »

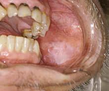
Leukoplakia

The white lesion is an example of leukoplakia.

Leukoplakia is a clinical term used to describe patches of keratosis . It is visible as adherent white patches on the mucous membranes of the oral cavity, including the tongue, but also other areas of the gastro-intestinal tract, urinary tract and the genitals. The clinical appearance is highly variable. Leukoplakia is not a specific disease entity, but is diagnosis of exclusion. It must be distinguished from diseases that may cause similar white lesions, such as candidiasis or lichen planus.

It is sometimes described as precancerous. It is also associated with smoking.

Tobacco, either smoked or chewed, is considered to be the main culprit in its development. (1998-2010 Mayo Foundation for Medical Education and Research (MFMER).

The term "candidal leukoplakia" is sometimes used to describe certain types of oral candidiasis.

Although the term "leukoplakia" often applies to conditions of the mouth, it can also be used to describe conditions of the genitals and urinary tract.

Incidence and prevalence

Leukoplakic lesions are found in approximately 3% of the world's population. Like erythroplakia, leukoplakia is usually found in adults between 40 and 70 years of age, with a 2:1 male predominance.

Causes

Leukoplakia is primarily caused by the use of tobacco. Other possible etiological agents implicated are HPV's, Candida albicans and possibly alcohol. Simultaneously serum levels of patients with leukoplakia were found to be low in Vit A,B-12,C & folic acid,in a study conducted in India. Most result from chronic irritation of mucous membranes by carcinogens. Bloodroot, otherwise known as sanguinaria, is also believed to be associated with leukoplakia.

5% to 25% of leukoplakias are premalignant lesions; therefore, all leukoplakias should be treated as premalignant lesions by dentists and physicians - they require histologic evaluation or biopsy. Hairy leukoplakia, which is associated with HIV infection and other diseases of severe immune deficiency can go on to develop lymphoma when associated with HIV.

Treatment

The treatment of leukoplakia mainly involves avoidance of predisposing factors — tobacco cessation, smoking, quitting betel chewing, abstinence from alcohol — and avoidance of chronic irritants, e.g., the sharp edges of teeth. A biopsy should be done, and the lesion surgically excised if pre-cancerous changes or cancer is detected.

Taking beta-carotene orally seems to induce remission in patients with oral leukoplakia. Further research is needed to confirm these results.[

Page 72 - Journal of Laser Dentistry 1

This is a SEO version of Journal of Laser Dentistry 1. Click here to view full version

« Previous Page Table of Contents Next Page »