Page 87 - Journal of Laser Dentistry 1

This is a SEO version of Journal of Laser Dentistry 1. Click here to view full version

« Previous Page Table of Contents Next Page »

Surgery - Decontamination - Biostimulation

Diode Laser 810nm

Power: 1.8 Watt, CW

Fibre 400 micron

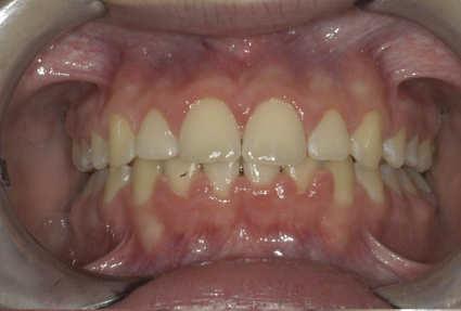
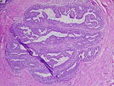
Papilloma

Intraductal papilloma of breast, H&E, 10x

Papilloma refers to a benign epithelial tumor growing exophytically (outwardly projecting) in finger-like fronds. In this context papilla refers to the projection created by the tumor, not a tumor on an already existing papilla (such as the nipple). When used without context, it frequently refers to infections caused by human papillomavirus (HPV), such as warts. There are, however, a number of other conditions that cause papilloma, such as choroid plexus papilloma (CPP) and pearly penile papules.

Human Papilloma Virus infection is a major cause of cervical cancer, although most HPV infections do not cause cancer.

Page 87 - Journal of Laser Dentistry 1

This is a SEO version of Journal of Laser Dentistry 1. Click here to view full version

« Previous Page Table of Contents Next Page »