Page 103 - Journal of Laser Dentistry 1

This is a SEO version of Journal of Laser Dentistry 1. Click here to view full version

« Previous Page Table of Contents Next Page »

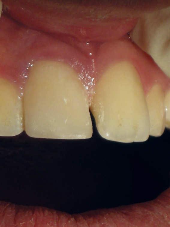
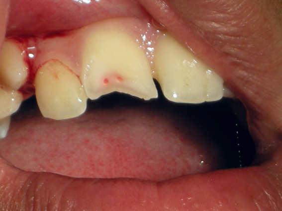
Pulpectomy 1

Dr. Valter Pirazzoli

Laser Setting

Diode Laser 810nm

Power: 2.0 Watt,

Sigle impuls

Fibre 200 micron

Page 103 - Journal of Laser Dentistry 1

This is a SEO version of Journal of Laser Dentistry 1. Click here to view full version

« Previous Page Table of Contents Next Page »