Page 102 - Journal of Laser Dentistry 1

This is a SEO version of Journal of Laser Dentistry 1. Click here to view full version

« Previous Page Table of Contents Next Page »

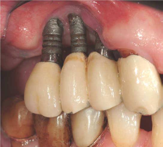
Peri-implantitis

Peri-implantitis is a dental term used to describe the destructive inflammatory process affecting the soft and hard tissues surrounding dental implants. The array of periodontal pathogens found around failing implants (those affected by peri-implantitis) are very similar to those found in association with various forms of periodontal disease.

Diode Laser 810nm

Power: 2.5 Watt,

pulsed 50 Hz

Time On/Off 10ms

Fibre 400 micron

1

Prof. AnnaRita Spedicato

Page 102 - Journal of Laser Dentistry 1

This is a SEO version of Journal of Laser Dentistry 1. Click here to view full version

« Previous Page Table of Contents Next Page »