Page 101 - Journal of Laser Dentistry 1

This is a SEO version of Journal of Laser Dentistry 1. Click here to view full version

« Previous Page Table of Contents Next Page »

2

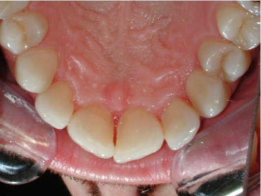
Prof. AnnaRita Spedicato

Laser Setting

Diode Laser 810nm

Power 2.5 Watt,

Pulsted 50 Hz

Time On/Off 10ms

Fibre 400 micron

Diode Laser 940nm

Power 1.6 Watt,

Pulsted 50 Hz

Time On/Off 10ms

Fibre 400 micron

3

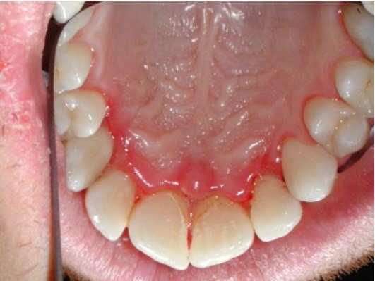
Prof. AnnaRita Spedicato

Page 101 - Journal of Laser Dentistry 1

This is a SEO version of Journal of Laser Dentistry 1. Click here to view full version

« Previous Page Table of Contents Next Page »