Page 100 - Journal of Laser Dentistry 1

This is a SEO version of Journal of Laser Dentistry 1. Click here to view full version

« Previous Page Table of Contents Next Page »

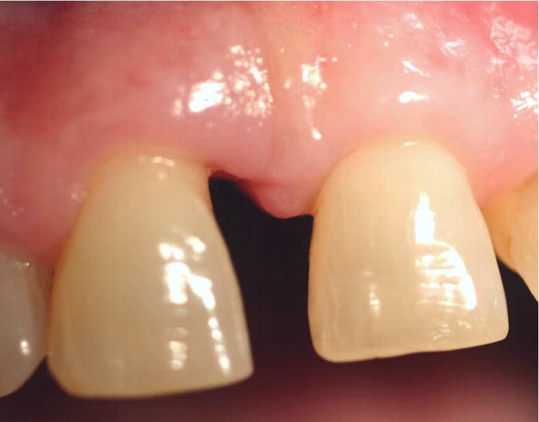
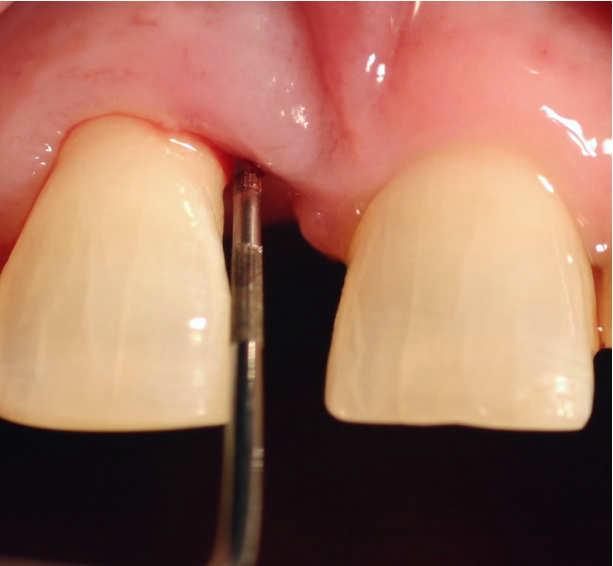
The surface of the root cement is lasers treated with International Setting.

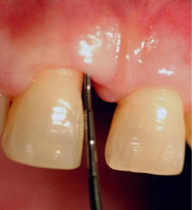
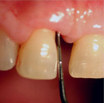
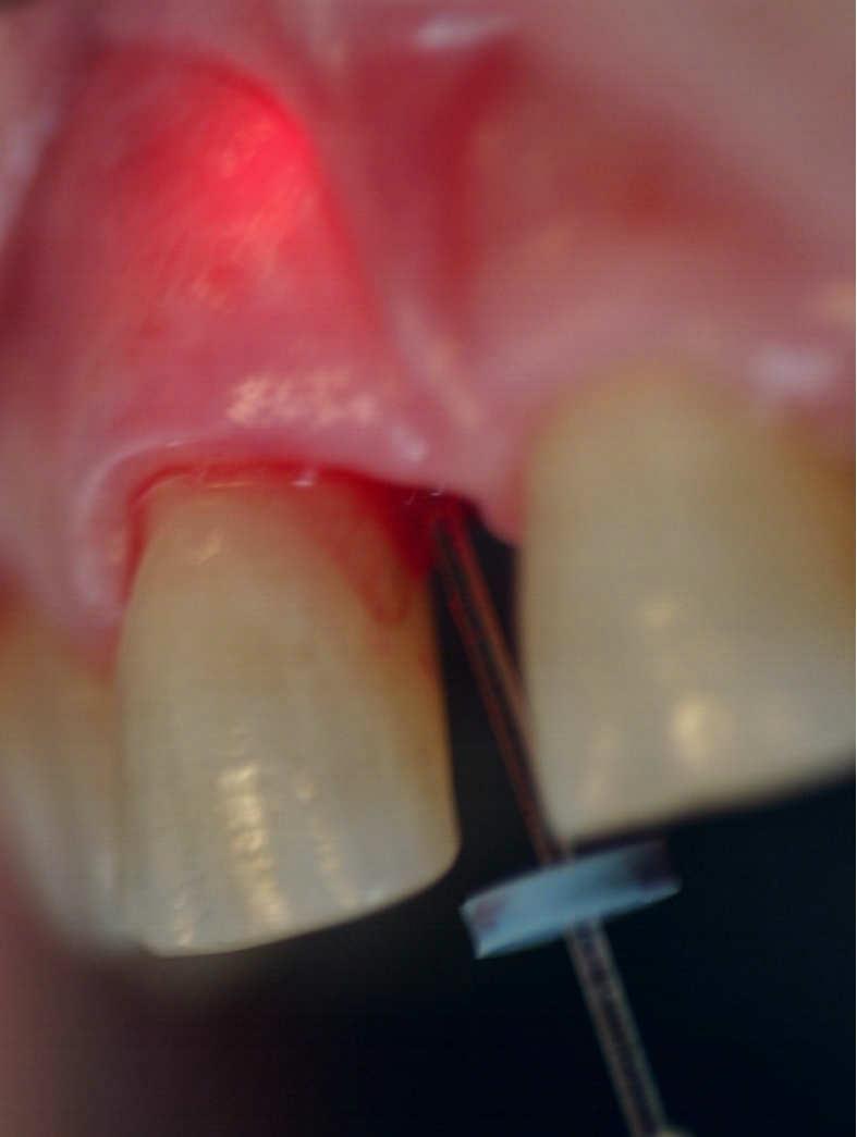
Initially, the strongly infected gum bleeds moderately. Already after four days doesn't give any apparent signs of inflammations.

With the first control after 4 days, we determine following:

The mesio-vestibolare probe gives us 2.5 mm at during the mesiopalatino di 2 mm deepness

Page 100 - Journal of Laser Dentistry 1

This is a SEO version of Journal of Laser Dentistry 1. Click here to view full version

« Previous Page Table of Contents Next Page »