Page 99 - Journal of Laser Dentistry 1

This is a SEO version of Journal of Laser Dentistry 1. Click here to view full version

« Previous Page Table of Contents Next Page »

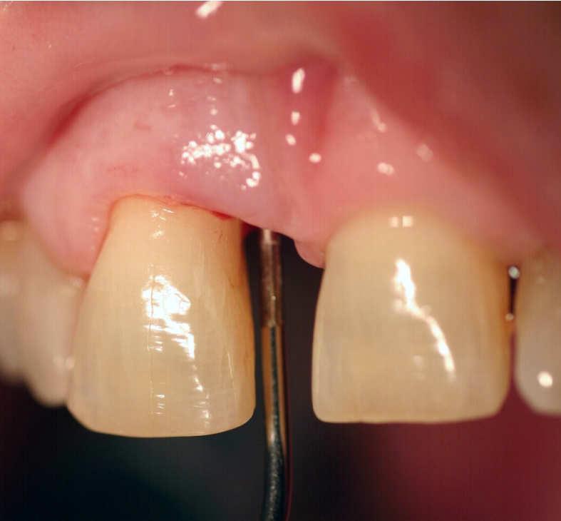
A parodontologic mesio-vestibolare and mesiolingual probe yields a conglomeration of plaque and tartar of 5 mm. The tissue is strongly infected.

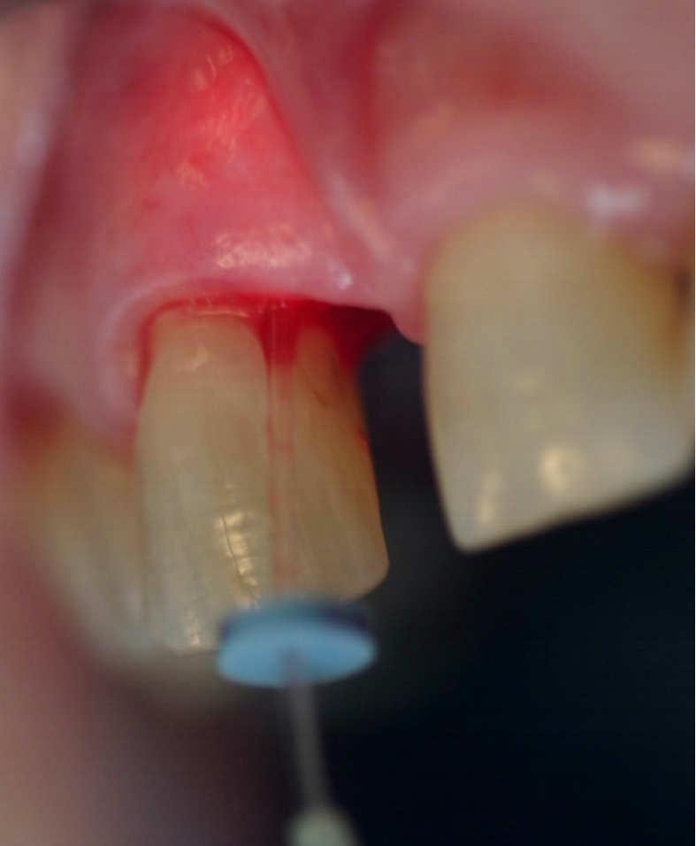
Scaling and root planning with curette and ultrasound to remove the plaque is done.

Page 99 - Journal of Laser Dentistry 1

This is a SEO version of Journal of Laser Dentistry 1. Click here to view full version

« Previous Page Table of Contents Next Page »