Page 111 - Journal of Laser Dentistry 1

This is a SEO version of Journal of Laser Dentistry 1. Click here to view full version

« Previous Page Table of Contents Next Page »

2

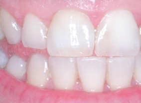
Prof. AnnaRita Spedicato

3

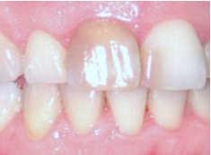
Prof. AnnaRita Spedicato

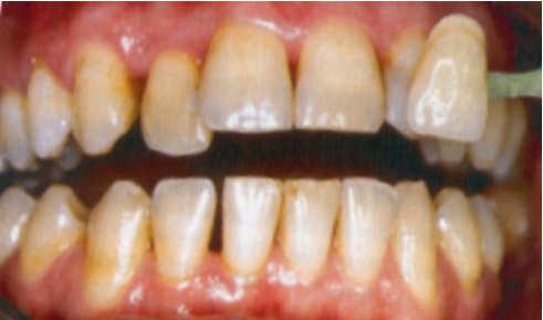
Laser Setting

Diode Laser 810nm

Power: 2.0 Watt, CW

Bleaching Handpiece

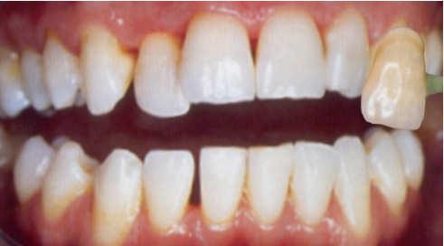
Diode Laser 940nm

Power: 7.0 Watt

Bleaching Handpiece

Page 111 - Journal of Laser Dentistry 1

This is a SEO version of Journal of Laser Dentistry 1. Click here to view full version

« Previous Page Table of Contents Next Page »