Page 46 - Journal of Laser Dentistry 1

This is a SEO version of Journal of Laser Dentistry 1. Click here to view full version

« Previous Page Table of Contents Next Page »

2

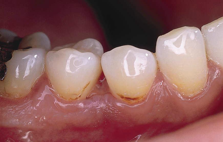
Prof. Alfred Resch

Laser Setting

Diode Laser 810nm

Power: 1,8 Watt, CW

Fibre 400 micron

Diode Laser 940nm

Power: 2,7 Watt, CW

Fibre 400 micron

3

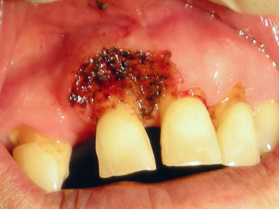
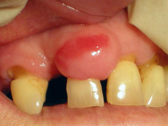
Dr. Pedrazoli

Page 46 - Journal of Laser Dentistry 1

This is a SEO version of Journal of Laser Dentistry 1. Click here to view full version

« Previous Page Table of Contents Next Page »