Page 45 - Journal of Laser Dentistry 1

This is a SEO version of Journal of Laser Dentistry 1. Click here to view full version

« Previous Page Table of Contents Next Page »

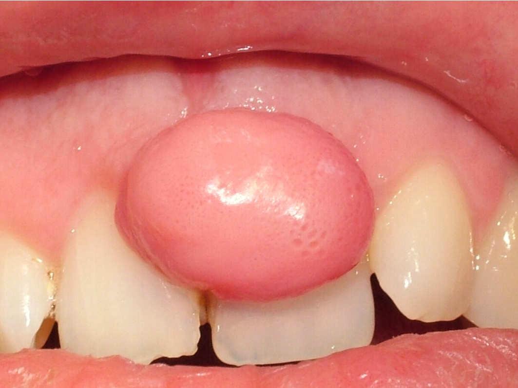
Epulis

Epulis is a term that means any benign lesion situated on the gingiva

Epulis fissuratum

Epulis fissuratum (also known as "Granuloma fissuratum") is an oral pathologic condition that appears in the mouth as an overgrowth of fibrous connective tissue. Also referred to less commonly as inflammatory fibrous hyperplasia, denture epulis, and denture induced fibrous hyperplasia, it is associated with the edges of a denture that does not fit well. The word, "epulis", can be used to describe any gingival tumor, but it is widely used in association with this specific condition.

Causes

Epulis fissuratum appears as a single or multiple fold of tissue that grown in excess around the alveolar vestibule, which is the area where the gums meet the inner cheek. Usually, the edge of the denture rests in between two of the folds. The excess tissue is firm and fibrous, and ulcerations may be present. The size of the affected tissue varies widely, since almost the entire length of tissue around a denture can be affected. More commonly found in women, it can appear in either the mandible or maxilla (upper jaw) but is more commonly found in the anterior portions of the mouth rather than in the posterior. Women during pregnancy can also present with an epulis, which will resolve after birth. Fibroepithelial polyps, pedunculated lesions of the palate beneath an upper denture, are associated with this condition. An epulis fissuratum in a patient without dentures can also be diagnostic of Crohn's disease.

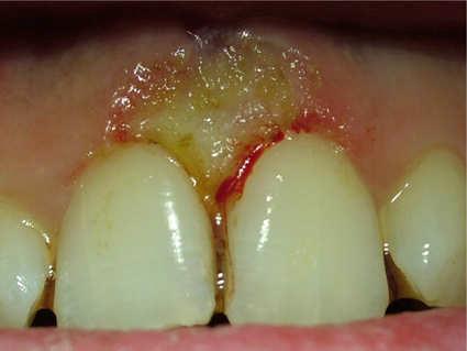
The appearance of an epulis fissuratum microscopically is an overgrowth of cells from the fibrous connective tissue. The epithelial cells are usually hyperkeratotic and irregular, hyperplastic rete ridges are often seen.

Treatment consists of surgical removal with the fixing of a denture in a process called a "reline" or with making a new denture

1

Prof. Atilia Petrini

Page 45 - Journal of Laser Dentistry 1

This is a SEO version of Journal of Laser Dentistry 1. Click here to view full version

« Previous Page Table of Contents Next Page »