Page 57 - Journal of Laser Dentistry 1

This is a SEO version of Journal of Laser Dentistry 1. Click here to view full version

« Previous Page Table of Contents Next Page »

addition, seven subjects noted social effects such as embarrassment and teasing. The authors concluded that this study confirmed anecdotal evidence of mechanical problems associated with ankyloglossia and that it suggests that the kinds of mechanical and social problems noted may be more prevalent than previously thought. Furthermore, the authors note that some patients may be unaware of the extent of the limitations they have due to ankyloglossia since they have never experienced normal tongue range. A limitation of this study is the small sample size that also represented a large age range.

Lalakea and Messner note that mechanical and social effects may occur even without other problems related to ankyloglossia such as speech and feeding difficulties. Also, mechanical and social effects may not arise until later in childhood as younger children may be unable to recognize or report the effects. In addition, some problems may not come about until later in life, such as kissing.

Intervention

There are varying types of intervention for ankyloglossia. Horton et al. have a classical belief that people with ankyloglossia can compensate in their speech for limited tongue range of motion. For example, if the tip of the tongue is restricted for making sounds such as /n, t, d, l/, the tongue can compensate through dentalization; this is when the tongue tip moves forward and up. When producing /r/, elevation of the mandible can compensate for restriction of tongue movement. Also, compensations can be made for /s/ and /z/ by using the dorsum of the tongue for contact against the palatal rugae. Thus, Horton et al. proposed compensatory strategies as a way to counteract the adverse effects of ankyloglossia and did not promote surgery.

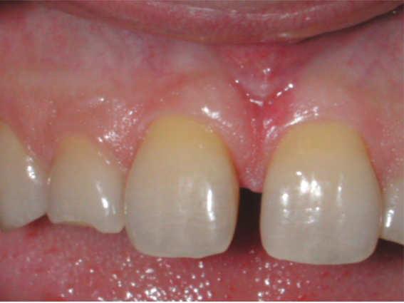
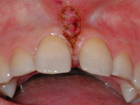
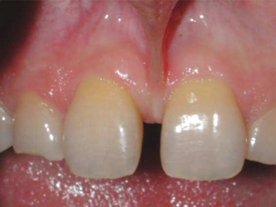
However, intervention for ankyloglossia sometimes includes surgery in the form of frenotomy (also called a frenectomy or frenulectomy) or frenuloplasty. This may be done by laser. However, authors such as Horton et al. are in opposition to it. According to Lalakea and Messner, surgery can be considered for patients of any age with

a tight frenulum as well as a history of speech, feeding, or mechanical/social difficulties. Adults with ankyloglossia may elect the procedure. Some of those who have done so report post-operative pain.

A viable alternative to surgery is to take a wait-and-see approach. Ruffoli et al. report that the frenulum naturally recedes during the process of a child’s growth between six months and six years of age.

1

Prof. AnnaRita Spedicato

Page 57 - Journal of Laser Dentistry 1

This is a SEO version of Journal of Laser Dentistry 1. Click here to view full version

« Previous Page Table of Contents Next Page »