Page 58 - Journal of Laser Dentistry 1

This is a SEO version of Journal of Laser Dentistry 1. Click here to view full version

« Previous Page Table of Contents Next Page »

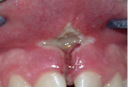
Laser Setting

Diode Laser 810nm

Power: 2.5 Watt,

Pulsed 50 Hz

Fibre 400 micron

2

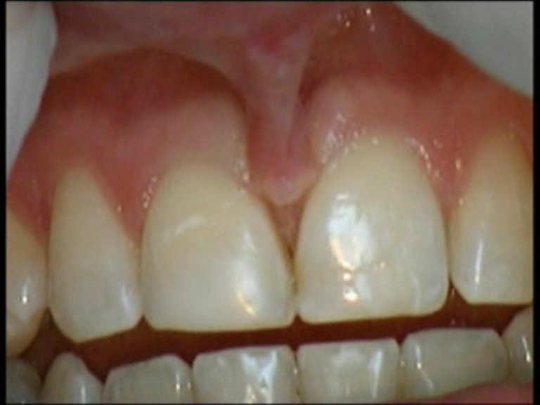
Prof. AnnaRita Spedicato

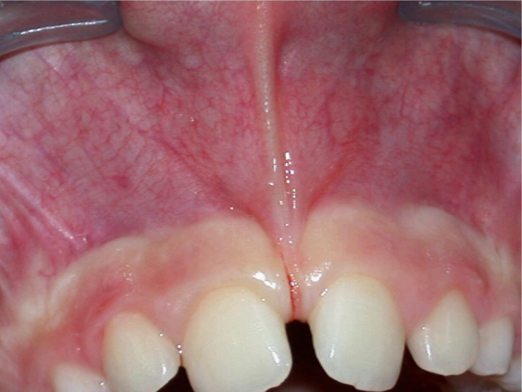
3

Prof. AnnaRita Spedicato

Page 58 - Journal of Laser Dentistry 1

This is a SEO version of Journal of Laser Dentistry 1. Click here to view full version

« Previous Page Table of Contents Next Page »