Page 59 - Journal of Laser Dentistry 1

This is a SEO version of Journal of Laser Dentistry 1. Click here to view full version

« Previous Page Table of Contents Next Page »

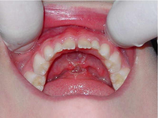
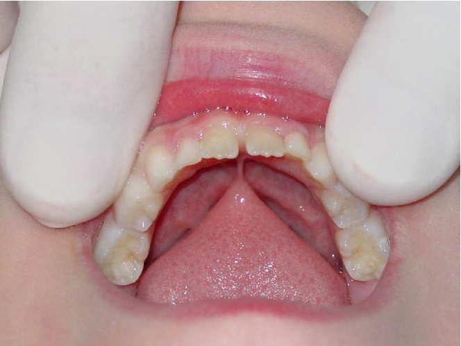
Diode Laser 810nm

Power: 2.5 Watt,

Pulsed 50 Hz ,Fibre 400 micron

Frenotomy-Tongue

1

Prof. AnnaRita Spedicato

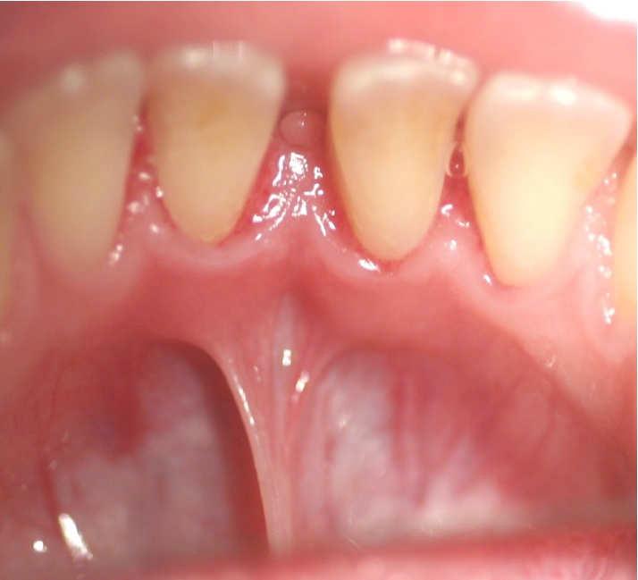
Laser Setting

Diode Laser 810nm

Power: 2.5 Watt,

Pulsed 50 Hz ,Fibre 400 micron

2

Dott. Stefania Cristalli

Page 59 - Journal of Laser Dentistry 1

This is a SEO version of Journal of Laser Dentistry 1. Click here to view full version

« Previous Page Table of Contents Next Page »