Page 60 - Journal of Laser Dentistry 1

This is a SEO version of Journal of Laser Dentistry 1. Click here to view full version

« Previous Page Table of Contents Next Page »

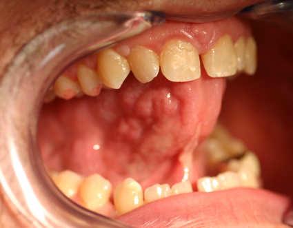
A tongue ribbon excision becomes executed. The ribbon tension the teeth 3.1 and 4.1 and create parodontological problems.

Since cutting usually generates absolutely no pain with the laser, one injects only few drops (to the pacification of the patient) lidocaine with 15 percent.

Diode Laser 810nm

Power: 2.5 Watt,

Pulsed 50 Hz ,Fibre 400 micron

Surgery will be done with a fibre of 400 µ and 2,0 Watt CW.

The cure process of the cut is very fast no post pains opposite traditional surgery.

Page 60 - Journal of Laser Dentistry 1

This is a SEO version of Journal of Laser Dentistry 1. Click here to view full version

« Previous Page Table of Contents Next Page »