Page 65 - Journal of Laser Dentistry 1

This is a SEO version of Journal of Laser Dentistry 1. Click here to view full version

« Previous Page Table of Contents Next Page »

4

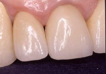
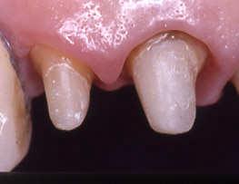
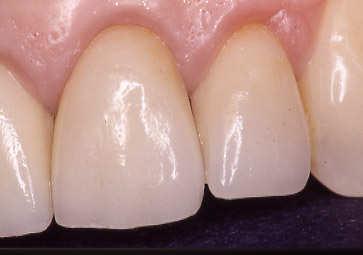
Prof. Michele Barone

3 mounth

Diode Laser 810nm

Power: 1,5 Watt, CW

Fibre 200 micron

Page 65 - Journal of Laser Dentistry 1

This is a SEO version of Journal of Laser Dentistry 1. Click here to view full version

« Previous Page Table of Contents Next Page »