Page 66 - Journal of Laser Dentistry 1

This is a SEO version of Journal of Laser Dentistry 1. Click here to view full version

« Previous Page Table of Contents Next Page »

5

Prof. Alfred Resch

Laser Setting

Diode Laser 810nm

Power: 1,5 Watt, CW

Fibre 400 micron

Gingivectomy

Pre prosthetic

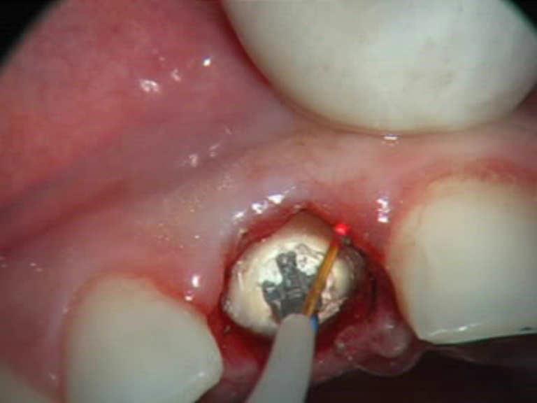
Dott. Stefania Cristalli

Laser Setting

Diode Laser 810nm

Power: 1,5 Watt, CW

Fibre 200 micron

Break under the gingival edge. A gingivectomy is made with a diode lasers 810nm.

Page 66 - Journal of Laser Dentistry 1

This is a SEO version of Journal of Laser Dentistry 1. Click here to view full version

« Previous Page Table of Contents Next Page »