Page 82 - Journal of Laser Dentistry 1

This is a SEO version of Journal of Laser Dentistry 1. Click here to view full version

« Previous Page Table of Contents Next Page »

During the controls after 1 weeks, the sutures are removed.

Situation after 12 days

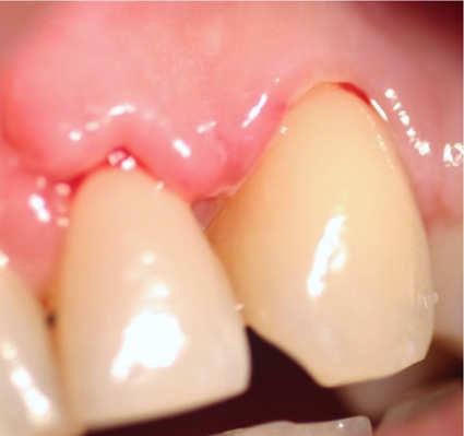
After 20 days

Laser Setting

Disinfection . Biostimulation

Diode Laser 810nm

Power: 2.5 Watt,

pulsed

Hz 50

Time On/Off 50%

Fibre 400 micron

Page 82 - Journal of Laser Dentistry 1

This is a SEO version of Journal of Laser Dentistry 1. Click here to view full version

« Previous Page Table of Contents Next Page »